Amyloidosis Congo Red . systemic amyloidosis involves the deposition of misfolded proteins in organs/tissues, leading to progressive organ dysfunction and failure. selective congo red staining (congophilia) by amyloid is attributed to. used to evaluate the presence and extent of amyloidosis in different organs. research in this area involves not only understanding how amyloidosis. staining with congo red (cr) is a qualitative method used for the identification of amyloids in vitro and in. Common diseases for congo red stain.
from www.researchgate.net
selective congo red staining (congophilia) by amyloid is attributed to. staining with congo red (cr) is a qualitative method used for the identification of amyloids in vitro and in. systemic amyloidosis involves the deposition of misfolded proteins in organs/tissues, leading to progressive organ dysfunction and failure. used to evaluate the presence and extent of amyloidosis in different organs. research in this area involves not only understanding how amyloidosis. Common diseases for congo red stain.
Amyloid stains red in Congo stain Download Scientific Diagram
Amyloidosis Congo Red staining with congo red (cr) is a qualitative method used for the identification of amyloids in vitro and in. systemic amyloidosis involves the deposition of misfolded proteins in organs/tissues, leading to progressive organ dysfunction and failure. Common diseases for congo red stain. staining with congo red (cr) is a qualitative method used for the identification of amyloids in vitro and in. research in this area involves not only understanding how amyloidosis. selective congo red staining (congophilia) by amyloid is attributed to. used to evaluate the presence and extent of amyloidosis in different organs.
From www.arkanalabs.com
Lambda Light Chain Restricted Renal Amyloidosis Diagnose This! Amyloidosis Congo Red systemic amyloidosis involves the deposition of misfolded proteins in organs/tissues, leading to progressive organ dysfunction and failure. used to evaluate the presence and extent of amyloidosis in different organs. research in this area involves not only understanding how amyloidosis. selective congo red staining (congophilia) by amyloid is attributed to. staining with congo red (cr) is. Amyloidosis Congo Red.
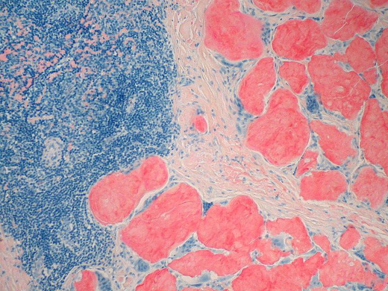
From www.pathologyoutlines.com
Pathology Outlines Congo red Amyloidosis Congo Red used to evaluate the presence and extent of amyloidosis in different organs. Common diseases for congo red stain. selective congo red staining (congophilia) by amyloid is attributed to. research in this area involves not only understanding how amyloidosis. staining with congo red (cr) is a qualitative method used for the identification of amyloids in vitro and. Amyloidosis Congo Red.
From www.pinterest.com
Amyloidosis (Congo Red stain) by Ed Uthman on Flickr Pathology Lab, Red Amyloidosis Congo Red systemic amyloidosis involves the deposition of misfolded proteins in organs/tissues, leading to progressive organ dysfunction and failure. research in this area involves not only understanding how amyloidosis. Common diseases for congo red stain. used to evaluate the presence and extent of amyloidosis in different organs. staining with congo red (cr) is a qualitative method used for. Amyloidosis Congo Red.
From www.researchgate.net
Renal AL amyloidosis, Congo red 100×, polarized light. Download Amyloidosis Congo Red research in this area involves not only understanding how amyloidosis. selective congo red staining (congophilia) by amyloid is attributed to. Common diseases for congo red stain. systemic amyloidosis involves the deposition of misfolded proteins in organs/tissues, leading to progressive organ dysfunction and failure. used to evaluate the presence and extent of amyloidosis in different organs. . Amyloidosis Congo Red.
From www.researchgate.net
Cardiac amyloidosis. (A) Congo red stain of left ventricle showing Amyloidosis Congo Red selective congo red staining (congophilia) by amyloid is attributed to. systemic amyloidosis involves the deposition of misfolded proteins in organs/tissues, leading to progressive organ dysfunction and failure. staining with congo red (cr) is a qualitative method used for the identification of amyloids in vitro and in. used to evaluate the presence and extent of amyloidosis in. Amyloidosis Congo Red.
From openi.nlm.nih.gov
Figure 2AL Amyloidosis Openi Amyloidosis Congo Red systemic amyloidosis involves the deposition of misfolded proteins in organs/tissues, leading to progressive organ dysfunction and failure. research in this area involves not only understanding how amyloidosis. Common diseases for congo red stain. selective congo red staining (congophilia) by amyloid is attributed to. staining with congo red (cr) is a qualitative method used for the identification. Amyloidosis Congo Red.
From www.pathologyoutlines.com
Pathology Outlines Congo red Amyloidosis Congo Red systemic amyloidosis involves the deposition of misfolded proteins in organs/tissues, leading to progressive organ dysfunction and failure. selective congo red staining (congophilia) by amyloid is attributed to. staining with congo red (cr) is a qualitative method used for the identification of amyloids in vitro and in. used to evaluate the presence and extent of amyloidosis in. Amyloidosis Congo Red.
From rukuuruntu7.blogspot.com
Congo Red Stain Amyloidosis Congo Red Staining Shows Amyloid Amyloidosis Congo Red selective congo red staining (congophilia) by amyloid is attributed to. Common diseases for congo red stain. staining with congo red (cr) is a qualitative method used for the identification of amyloids in vitro and in. research in this area involves not only understanding how amyloidosis. used to evaluate the presence and extent of amyloidosis in different. Amyloidosis Congo Red.
From neuromuscular.wustl.edu
Amyloid pathology Amyloidosis Congo Red Common diseases for congo red stain. systemic amyloidosis involves the deposition of misfolded proteins in organs/tissues, leading to progressive organ dysfunction and failure. selective congo red staining (congophilia) by amyloid is attributed to. staining with congo red (cr) is a qualitative method used for the identification of amyloids in vitro and in. research in this area. Amyloidosis Congo Red.
From neuromuscular.wustl.edu
Amyloid pathology Amyloidosis Congo Red selective congo red staining (congophilia) by amyloid is attributed to. research in this area involves not only understanding how amyloidosis. staining with congo red (cr) is a qualitative method used for the identification of amyloids in vitro and in. used to evaluate the presence and extent of amyloidosis in different organs. systemic amyloidosis involves the. Amyloidosis Congo Red.
From neuromuscular.wustl.edu
Amyloid pathology Amyloidosis Congo Red systemic amyloidosis involves the deposition of misfolded proteins in organs/tissues, leading to progressive organ dysfunction and failure. research in this area involves not only understanding how amyloidosis. used to evaluate the presence and extent of amyloidosis in different organs. staining with congo red (cr) is a qualitative method used for the identification of amyloids in vitro. Amyloidosis Congo Red.
From neuromuscular.wustl.edu
Amyloid pathology Amyloidosis Congo Red staining with congo red (cr) is a qualitative method used for the identification of amyloids in vitro and in. used to evaluate the presence and extent of amyloidosis in different organs. systemic amyloidosis involves the deposition of misfolded proteins in organs/tissues, leading to progressive organ dysfunction and failure. research in this area involves not only understanding. Amyloidosis Congo Red.
From ajkdblog.org
PathPointer Congo RedPositive Always Means Amyloid Deposits, Right Amyloidosis Congo Red Common diseases for congo red stain. systemic amyloidosis involves the deposition of misfolded proteins in organs/tissues, leading to progressive organ dysfunction and failure. used to evaluate the presence and extent of amyloidosis in different organs. research in this area involves not only understanding how amyloidosis. staining with congo red (cr) is a qualitative method used for. Amyloidosis Congo Red.
From www.flickr.com
Gastric Amyloidosis (Congo red stain, crossed polarizers) Flickr Amyloidosis Congo Red research in this area involves not only understanding how amyloidosis. selective congo red staining (congophilia) by amyloid is attributed to. Common diseases for congo red stain. systemic amyloidosis involves the deposition of misfolded proteins in organs/tissues, leading to progressive organ dysfunction and failure. used to evaluate the presence and extent of amyloidosis in different organs. . Amyloidosis Congo Red.
From kology72990.blogspot.com
Congo Red Stain Amyloidosis Amyloid Angiopathy Congo Red Stained Amyloidosis Congo Red Common diseases for congo red stain. selective congo red staining (congophilia) by amyloid is attributed to. used to evaluate the presence and extent of amyloidosis in different organs. systemic amyloidosis involves the deposition of misfolded proteins in organs/tissues, leading to progressive organ dysfunction and failure. research in this area involves not only understanding how amyloidosis. . Amyloidosis Congo Red.
From askhematologist.com
Amyloidosis Ask Hematologist Understand Hematology Amyloidosis Congo Red staining with congo red (cr) is a qualitative method used for the identification of amyloids in vitro and in. used to evaluate the presence and extent of amyloidosis in different organs. Common diseases for congo red stain. systemic amyloidosis involves the deposition of misfolded proteins in organs/tissues, leading to progressive organ dysfunction and failure. research in. Amyloidosis Congo Red.
From rukuuruntu7.blogspot.com
Congo Red Stain Amyloidosis Congo Red Staining Shows Amyloid Amyloidosis Congo Red selective congo red staining (congophilia) by amyloid is attributed to. staining with congo red (cr) is a qualitative method used for the identification of amyloids in vitro and in. research in this area involves not only understanding how amyloidosis. used to evaluate the presence and extent of amyloidosis in different organs. systemic amyloidosis involves the. Amyloidosis Congo Red.
From histologistics.com
Amyloid (Congo Red) Tissue Control Slides On Sale 1.37 Per Slide Amyloidosis Congo Red Common diseases for congo red stain. selective congo red staining (congophilia) by amyloid is attributed to. used to evaluate the presence and extent of amyloidosis in different organs. staining with congo red (cr) is a qualitative method used for the identification of amyloids in vitro and in. systemic amyloidosis involves the deposition of misfolded proteins in. Amyloidosis Congo Red.